企業動態
“囊”揚中外|顯微鏡+球囊造通輔助下微創腦室內腫瘤切除術
時間: 2020/8/26 類別:企業動態

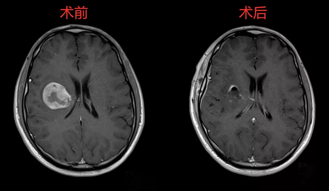
近日,葡萄牙Hospital Gaia Espinho神經外科主任Antonio Marques Baptista醫生完成了首例在顯微鏡和球囊造通輔助下側腦室膠質瘤切除術,切除了一個44x30毫米大小的惡性膠質瘤。術后患者恢復良好,神經功能正常。

接診后,神經外科主任Antonio Marques Baptista醫生對患者的既往病史、檢查結果進行仔細分析,考慮為惡性膠質瘤的可能性大,并為其制定了詳細的診療方案。鑒于腫瘤位置處在重要功能區,為最大程度保護其功能不受損害,經家屬協商同意,Antonio醫生最終決定采用球囊造通輔助下腦腫瘤切除術。


術后,患者意識清醒,語言等功能都恢復良好,身體正順利康復中。
上一條新聞: 南京論道|擎源醫療參加第十屆全國功能神經外科學術會議




